The Knee of the New Millennium


Table of Contents


The Story of My Knee

Back in 1984, I tore my Anterior Cruciate Ligament while playing basketball. The remains of my ACL were stapled to my femur, and several bits of torn meniscular cartilage were removed. In 1987 I had surgery again to remove more torn cartilage; at that time there was evidence of deterioration of my articular cartilage. Since then I've been playing soccer and basketball several times a week. As a note, at the time of this writing, I'm 37 years old, 5'10", and 185 pounds.

(back to Table of Contents)


Why the sudden interest in my knee?

I went to my doctor in November of 2000 complaining of knee pain. He referred me to an orthopedist. Examination of my knee showed some swelling, loss of range of motion, and varus malalignment. For you non-medical types (like me), the last bit means that the knee had moved away from the mid-plane of my body (bow-legging).

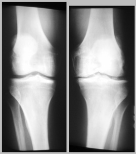
An X-ray of both my knees  looks like this:

This is taken as if you are standing in front of me and looking at my knees. The image on the left is my right knee and the image on the right is my left knee. (Confused yet?) They aren't really this close together when I'm standing, but PhotoShop makes all things possible. If you want a bigger image, click here.

My right knee looks pretty good, given the way I've abused it over the years. The left knee is another story. The tibia and femur show some spurring, and the medial meniscus has pretty much gone away (compare the gap between tibia and femur on either side of my left knee).

(back to Table of Contents)


So how did we try to improve things?

First, I tried to collect as much  information as I could. (I found the SOAR website very informative). I met with several different orthopedic specialists to consider various options. The doctors agreed that things were not looking good for my knee, but the situation could be improved.

On 14 March 2001, my orthopedist is performed a High Tibial Osteotomy (HTO). (Check out the external fixator shown on the left. That's a picture from the EBI web site which shows the device used to adjust a tibial osteotomy.) At the same time, he removed a piece of detached cartilage and a tear in the lateral meniscus (debridement) and tried  to promote a sort of cartilage growth (using microfracture) in the areas where my articular cartilage has degenerated.

24-Apr-01 As of this writing, I am six weeks postoperative. The HTO has repositioned my weight-bearing axis so that it runs through the lateral compartment of my knee. My range of motion is reasonable, although I do not yet have full extension of the joint. I'm still not allowed more than toe-touch weight-bearing, as the tissue stimulated by microfracture is still fragile. I'm completely off pain medication and have been working a reduced schedule at the office since late March.

1-Jun-01 X-rays today show that the tibia has healed well. I am eleven weeks postoperative; it has been six weeks since the bone distraction was stopped. The doctor has removed all of the hardware from my leg. I am walking without pain; I ride a stationary bike (at very low resistance) for 45 minutes to an hour every day.

1-Nov-01 Today's exam finds me seven and a half months postoperative. It has been five months since the fixator was removed. I'm now able to walk long distances and exercise in the weight room or on a bicycle with no pain at all. My orthopedist has cleared me for any activities, with the exception of running for conditioning (I should choose a no-impact form of exercise such as biking, using an elliptical runner, swimming, etc.). My range of motion is better in extension than before the surgery, but in flexion I am still slightly restricted. The doctor thinks that the bio-mechanics of the joint are now much improved. The acute pain (due to the torn meniscus) is completely gone, and the chronic pain (due to the degeneration of the articular cartilage) has been dramatically reduced. 

18-Jan-02 My knee continues to feel better. I've recovered almost all of my leg strength, and the range of motion has also improved a bit.

(back to Table of Contents)


If you're done, you can go back to Scott's Home Page.

Created: 12-Jan-01 by S. DeBarger
Modified 18-Jan-02